Проглотил булавку: в Днепре почти 20 врачей спасали жизнь ребенку

В Днепре 20 врачей спасали жизнь ребенку - фото: medcentr.biz

В Днепре 20 врачей спасали жизнь ребенку - фото: medcentr.biz

События
03 ноября 2021 13:20

В Днепре ребенок проглотил булавку. Около 20 врачей спасали ему жизнь.

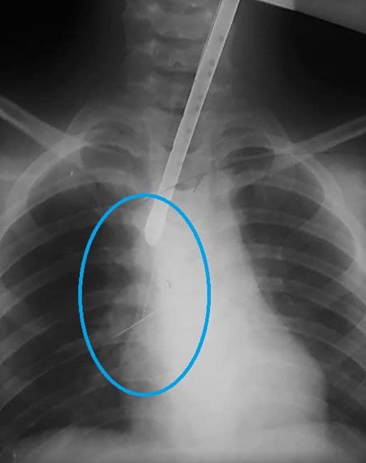
Как сообщают сотрудники Днепропетровской областной детской больницы, вечером 28 октября к ним привезли ребенка, который по неосторожности проглотил булавку. Чтобы выяснить, где именно находится инородный предмет, врачи провели при помощи эндоскопа (осветительно-оптического прибора) исследование горла ребенка. В итоге они обнаружили, что швейная шпилька прикололась к трахее. Выглядело это так:

В Днепре спасали ребенка, который проглотил булавку/ фото: facebook.com/Дніпропетровська обласна дитяча лікарня В Днепре спасали ребенка, который проглотил булавку/ фото: facebook.com/Дніпропетровська обласна дитяча лікарня

Не забудьте подписаться на канал Vgorode.ua в Telegram.

Медики попытались втащить булавку из ребенка при помощи специальной петли, но булавка начала острой частью спускаться вниз по дыхательным путям к правому бронху и подкалываться к нему.

В Днепре спасали ребенка, который проглотил булавку/ фото: facebook.com/Дніпропетровська обласна дитяча лікарня В Днепре спасали ребенка, который проглотил булавку/ фото: facebook.com/Дніпропетровська обласна дитяча лікарня

Несмотря на то, что врачи захватили петлей инородный предмет (удерживали от падения вниз), продолжать его извлечение таким способом они побоялись. Из-за малейшей  неосторожности можно было травмировать бронх, что привело бы к кровотечению. Специалисты обговорили все возможные варианты выхода из сложившейся нестандартной ситуации и пришли к не менее нестандартному решению. Так, они ввели гибкий бронхоскоп через жесткий бронхоскоп и осторожно – практически не повредив слизистую бронха и трахеи – достали им злосчастную булавку из тела маленького пациента. Потому его не пришлось срочно оперировать.

В Днепре спасали ребенка, который проглотил булавку/ фото: facebook.com/Дніпропетровська обласна дитяча лікарня В Днепре спасали ребенка, который проглотил булавку/ фото: facebook.com/Дніпропетровська обласна дитяча лікарня

Нужно сказать, что в данной "остросюжетной спецоперации" принимали участие около 20 врачей. Утром после удаления булавки ребенок, как отмечают сотрудники больницы, чувствовал себя хорошо и его отпустили домой.

Будьте в курсе последних новостей – подписывайтесь на наши странички в:

Также у нас есть чат "Днепр, подвези", где вы можете найти себе попутчиков.

Это чат – пиши и читай 👇
Ого! ты доскролил до нашего чатбота 😏
Теперь у тебя есть возможность настроить его под себя и узнавать важный контент первым, чтобы рассказывать друзьям
Только почта, только хардкор 🤘
Мы в соцсетях